新闻中心

News

【关注】气管重度狭窄险断呼吸!温岭一院这项微创技术精准“架桥”,助肺癌患者闯关成功

作者: 来源: 发布时间: 2026-01-16 12:20:00

持续咳嗽咳痰两月,55岁的W先生被确诊为晚期肺癌。就在后续治疗推进的关键节点,他的气管突然出现重度狭窄,连正常呼吸都变得艰难,后续放疗也因此陷入停滞。幸运的是,温岭市第一人民医院的呼吸与危重症医学科医护团队凭借经支气管镜介入技术,成功为他打通生命通道,让后续治疗得以顺利完成。

2024年11月
确诊为右肺恶性肿瘤(鳞癌Ⅳ期)


时间回到2024年11月,W先生因长期咳嗽咳痰就医检查,经胸部CT、气管镜及病理活检等一系列检查后,最终被确诊为右肺恶性肿瘤(鳞癌Ⅳ期),还合并肺内转移、纵隔淋巴结继发恶性肿瘤等问题。在多学科团队评估后,治疗按计划推进,后续拟开展胸部肿瘤放疗。

2025年9月
气管下段已出现重度狭窄

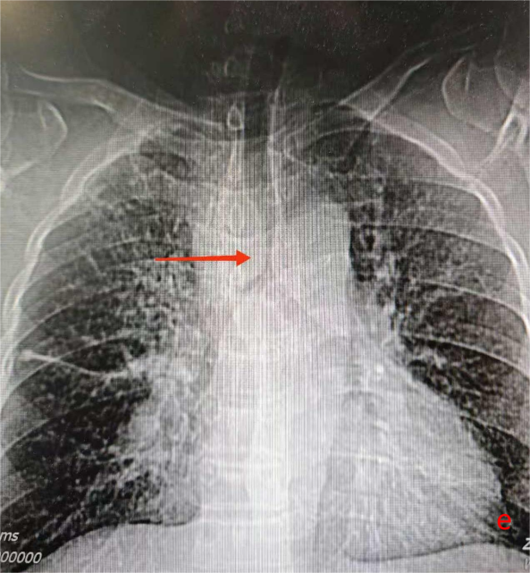
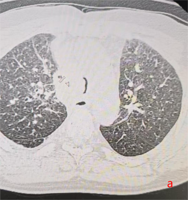
意外却在2025年9月悄然发生。当时W先生正在外院准备接受放疗,期间呼吸困难症状急剧加重,不仅无法耐受下床活动,还伴随咳嗽咳白黏痰。紧急复查CT显示,他的气管下段已出现重度狭窄,这一状况不仅严重威胁生命安全,也让原本的放疗计划因风险过高而难以实施。危急时刻,W先生前往温岭市第一人民医院寻求进一步救治。




面对凶险的气道梗阻情况,温岭市第一人民医院呼吸与危重症医学科团队迅速展开全面评估。李相国主任医师和李康副主任医师认为,经支气管镜气管支架植入术是当下最适合的治疗方案——这项技术无需开胸,创伤小,能精准解决气道梗阻问题,为后续治疗争取时间。

2025年10月10日
支架成功植入手术顺利开展

2025年10月10日,手术在全麻下顺利开展。医护团队通过支气管镜的精准引导,将支架成功植入患者气管狭窄部位,整个过程平稳有序。术后奇迹很快显现:W先生的呼吸困难症状当场明显缓解,复查胸片提示气道下段通畅度显著改善,没过多久便能正常进行日常活动。短暂恢复后,他顺利返回继续接受胸部肿瘤放疗,整个放疗过程进展顺利,胸部肿瘤明显缩小。




2025年12月19日
支架取出手术成功,已恢复正常生活节奏。

同年12月19日,W先生再次来到温岭市第一人民医院,在接受肿瘤相关治疗的同时,医护团队为他实施了支架取出手术。术后检查显示,他的气管保持通畅,呼吸顺畅,目前生活状态良好,已恢复正常生活节奏。

“经支气管镜气管支架植入术,是解决中心气道狭窄的关键微创技术。”李相国介绍,对于肿瘤进展导致气道梗阻的患者,这项技术能迅速解除窒息风险,改善通气功能,更重要的是能为后续的肿瘤局部治疗(如放疗)创造安全的治疗窗口,是衔接多学科综合治疗的重要桥梁。其最大优势在于“微创”——无需开胸,让患者在短时间内恢复呼吸通畅。


温岭市第一人民医院呼吸与危重症医学科团队已熟练开展金属裸支架、覆膜支架、安全T管等多种类型的支架植入手术,在支架植入后并发症处理、支架回收等关键环节也形成了成熟的诊疗规范,能为患者提供从紧急救治到后续康复的全流程专业服务。

李相国提醒,咳嗽、咳痰等呼吸道症状虽常见,但如果持续不缓解,一定要及时就医检查,避免延误病情。而对于肿瘤等复杂疾病的治疗,精准的微创介入技术能为患者带来更多治疗可能,遇到相关健康困扰时,可及时咨询专业医疗机构,获取个性化诊疗建议。