新闻中心

News

【关注】食管癌术后11年反复咳嗽,温岭71岁阿姨查出凶险瘘口!多学科团队精准破解

作者: 来源: 发布时间: 2025-12-16 16:00:00

“医生,我这咳嗽快半年了,昨晚咳得喘不上气,胸口闷得慌,身上还发烫……”近日清晨6点多,温岭市第一人民医院急诊室迎来了一位特殊的患者——71岁的朱阿姨,她坐着轮椅,在家人陪同下紧急来到急诊。



















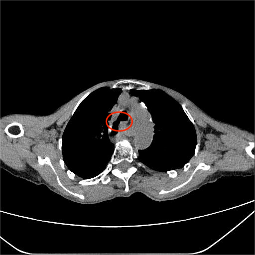
术前食管气管瘘

咳嗽半年不愈,竟是食管气管“穿了洞”

朱阿姨的病史颇为复杂。11年前,她因食管癌接受了手术治疗,今年5月复查胃镜时,发现“食管吻合口多发溃疡”。其实从5个多月前开始,她就开始频繁出现阵发性刺激性咳嗽,尤其到了夜间,咳嗽声更是此起彼伏,偶尔还会咳出少量黄白痰。

“一开始以为是感冒,自己买了止咳药吃,可怎么也断不了根。”朱阿姨的家人说,直到1天前,咳嗽突然加重,咳得胸闷气促,肚子还隐隐作痛,连吃饭睡觉都受影响,这才赶紧送医。

急诊医生第一时间为朱阿姨安排了全面检查,结果让人揪心:胸部CT提示两肺炎症、心包积液,结合其食管癌术后病史,高度怀疑“食管气管瘘”!血常规检查显示,她的白细胞计数12.95×10⁹/L(正常参考值3.5-9.5×10⁹/L),中性粒细胞百分数94.63%(正常参考值40-75%),降钙素原1.70ng/mL(正常参考值<0.05ng/mL),各项指标均指向严重感染。更危急的是,血气分析显示她的氧分压仅71.0mmHg,已出现I型呼吸衰竭。

情况紧急,朱阿姨被迅速收住呼吸与危重症医学科,一场针对凶险食管气管瘘的救治随即展开。


术后11年为何出现瘘口?

三大关键因素揭秘


“食管气管瘘是食管癌术后的严重远期并发症,朱阿姨的情况并非个例。”温岭市第一人民医院呼吸与危重症医学科副主任姜爱国主任医师解释,这种情况的出现,主要与三大因素相关。

首先是吻合口的长期隐患。食管吻合口是食管癌术后食管与其他消化道器官连接的“接口”,本身就是薄弱环节。朱阿姨今年5月就查出吻合口多发溃疡,长期的溃疡不断侵蚀周围组织,逐渐破坏食管壁,而食管与气管距离极近,最终溃疡穿透食管壁,与气管“打通”形成瘘口。

其次,术后纵隔结构改变增加了诊治难度。食管癌手术会改变胸腔内正常的解剖结构,像朱阿姨这样的食道癌根治术后“胸腔胃”,纵隔内组织还可能出现粘连,导致瘘口位置隐蔽,常规检查难以精准定位。

此外,老年患者身体耐受度差,症状易被忽视。朱阿姨年事已高,身体机能下降,起初将反复咳嗽误认为普通感冒或支气管炎,自行用药延误了诊治,直到出现呼吸衰竭等严重症状才就医。

















这些典型信号要警惕!高危人群需定期筛查




姜爱国主任医师提醒,食管气管瘘虽凶险,但并非无迹可寻,尤其是食管癌术后患者,出现以下症状一定要及时就医:

1.长期反复咳嗽,夜间加重,普通止咳药无效——这是因为瘘口导致唾液、食物残渣误入气管,刺激气管黏膜引发的“反射性咳嗽”;

2.咳嗽后伴随胸闷、气促,严重时可能发展为呼吸衰竭——瘘口增大后,进入气管的异物增多,会严重影响呼吸功能;


3.不明原因的肺部感染,抗生素治疗后暂时好转但易复发——食物或唾液通过瘘口进入肺部,会引发反复的吸入性肺炎;

4.腹部不适或消化异常,如恶心、腹痛、稀糊便等——食管功能受影响后,可能出现相关消化症状,需结合呼吸道症状综合判断。

而以下三类人群属于高危群体,建议定期筛查:

1.食管癌术后患者,尤其是术后5年以上,或有吻合口溃疡、狭窄等问题的,建议每年做1次胃镜和胸部CT;

2.有食管吻合口溃疡病史者,需积极治疗并定期复查,避免溃疡进一步发展;

3.老年体弱、营养不良者,这类人群修复能力差,一旦出现食管或气管损伤,更易形成瘘口,需更早干预。







呼吸科气管镜介入团队:为朱阿姨制定 “个体化” 治疗方案


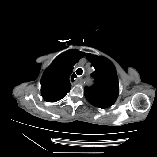
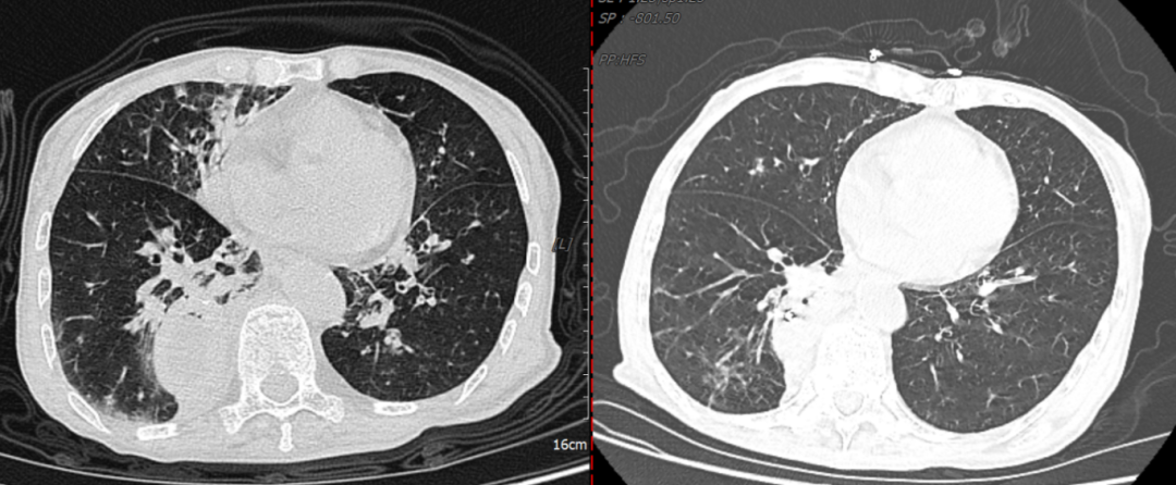
朱阿姨入院后,呼吸与危重症医学科先针对肺部的重症感染,针对性的抗感染,高流量鼻导管吸氧改善氧合,营养支持等综合性治疗稳定病情;再联合消化内科、心胸外科、麻醉科开展多学科会诊,针对她的特殊情况,逐一分析治疗方案的可行性:最终,由呼吸与危重症医学科副主任姜爱国主任医师及陈哲主治医师为朱阿姨实施 “全麻下气管内覆膜支架置入术”,并根据事先测量的尺寸,置入了定制的气管金属覆膜支架”;精准覆盖瘘口,避免因支架过大或过小导致移位、封堵不全等问题,还能减少对气管黏膜的刺激,降低术后痰液引流不畅的风险。术后患者进食呛咳情况及肺部感染得到有效改善。












气管覆膜支架完全覆盖瘘口


肺部感染治疗前后对比