新闻中心

News

【关注】10分钟硬核集结!温岭一院创伤中心高效救治钢筋刺伤患者

作者: 来源: 发布时间: 2025-12-05 20:00:00

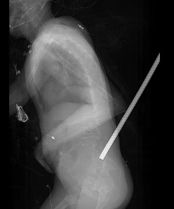
“钢筋刺入伤患者马上到,情况紧急!”12月3日,温岭市第一人民医院急诊室的应急铃声突然响起。创伤中心团队的医护人员迅速备齐抢救设备,相关科室人员同步集结,一场与时间赛跑的生命救援提前拉开序幕。据悉,一名工人作业时突发意外,被一根3米长的钢筋从后背刺入。

考虑到长钢筋不便转运,现场救援人员紧急将外露部分切割缩短,处理妥当后患者被火速送医。经检查,钢筋残留体外部分42厘米,体内嵌入长度约十几厘米。

“伤者到院时意识尚清,但钢筋刺入位置刚好对准腰椎四五节至骶骨区域,这是脊柱神经密集的‘生命地带’。”急诊医学科副主任蔡建华介绍13时57分接到120院前预警后,医院创伤中心10分钟内就完成了患者建档,急诊医学科、创伤骨科、脊柱外科、普外科、泌尿科等多个相关科室人员已全部集结到抢救室待命,同时还远程指导120救援人员做好现场处置。

14时34分,患者顺利抵达急诊抢救室。等候多时的医护团队立刻上前,快速评估病情、维持生命体征、抽血化验并联系备血,一系列急救措施有条不紊。





经过20分钟的紧急处置稳定病情后,患者被迅速送往CT室进行检查。而多学科专家早已在CT室等候,随即启动MDT会诊,快速明确钢筋未伤及关键脏器的诊断,敲定了手术方案。



会诊结束后,患者直接从CT室转运至手术室,麻醉手术室团队早已准备好,实现无缝衔接。手术由脊柱外科张文斌主任医师、马子平副主任医师主刀,外科医生待命随时支援,团队先将42厘米长的钢筋完整取出,再细致开展清创与脊柱修复工作。整个手术衔接有序,最终顺利完成,患者术后被转入EICU,目前生命体征平稳。

“这次救治能成功,关键就在于创伤中心的高效联动。”急诊医学科主任朱金强总结道,从接到预警启动响应,到多科室协作会诊,再到手术精准操作,每个环节都紧密配合,这正是患者能转危为安的关键保障。


医生提醒:异物刺入别乱拔


医生提醒,遇到钢筋、刀具等异物刺入人体时,现场人员切勿盲目拔除异物,否则极易引发大出血或神经损伤,造成不可逆后果。

正确的处置步骤是:第一时间拨打120,同时用纱布、绷带等在异物两侧固定,防止异物移位;若异物外露过长,可在专业指导下剪短体外部分,但绝不能触碰体内部分;搬运时务必保持患者身体平稳,避免颠簸造成二次伤害,为后续救治争取时间。


温岭一院创伤中心简介

创伤中心创建于2018年6月,进行实体化运作。以急诊医学科为核心,形成包括骨科、心胸外科、神经外科、普外科、介入血管外科、泌尿外科、妇产科、眼科、耳鼻喉科、康复科、麻醉手术室、输血科、医学检验科、放射影像科、超声影像科等相关科室为整体的创伤救治中心,能全面开展各种严重创伤的救治,包括严重颅脑损伤,严重和复杂脊柱损伤,各种严重胸部心脏和大血管创伤,复杂的腹部创伤,各种复杂的肢体严重创伤的救治,通过院前院内联动,院内多科协作(MDT) ,形成了创伤救治的一体化,为创伤患者提供最优化最有效的服务。